Thyroïde
La thyroïde est une glande située à la partie inférieure du cou, en avant de la trachée. Elle est constituée de deux lobes réunis par un isthme, lui donnant un aspect de papillon.
La glande présente des rapports anatomiques par la proximité de gros vaisseaux sanguins. Elle est en contact par sa face profonde avec le nerf récurrent droit et gauche, responsables de la mobilité de chaque corde vocale. A son contact, les glandes parathyroïdes ont un rôle important dans le métabolisme du calcium et du phosphore de l’organisme.
Véritable chef d'orchestre du corps humain, son rôle est la fabrication d’hormones thyroïdiennes T3 (Triiodothyronine) et T4 (Thyroxine), déterminantes dans le métabolisme de l’ensemble du corps.
La fabrication de ces hormones est régulée par la TSH (Thyréostimuline) produite par l’hypophyse.
On parle d’hyperthyroïdie, d’hypothyroïdie, ou d’euthyroïdie selon que la glande présente une activité augmentée, diminuée, normale.
La palpation du cou apprécie la taille de la glande, la présence de nodules et de ganglions. Une fibroscopie nasale analyse la mobilité des cordes vocales.
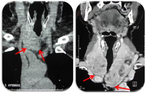
En fonction de la taille du goitre et en cas de suspicion clinique et échographique d’un caractère plongeant (pôle inférieur de la glande non palpable ou non visualisé en échographie), une imagerie par scanner du cou et du thorax permet de déterminer le caractère cervciothoracique du goitre et ses rapports anatomiques particulièrement vasculaires.
La réalisation d'une scintigraphie thyroïdienne est décidée devant la découverte d'une hyperthyroïdie biologique.
Un bilan hormonal par dosage sanguin des T3, T4, TSH et selon les indications, calcitonine, anticorps anti-thyroperoxydase et anti-thyroglobuline, anticorps antirécepteurs à la TSH, dosage de la calcémie, protidémie et phosphorémie.
Au terme de l’ensemble du bilan, une indication chirurgicale (thyroïdectomie) sera posée en cas de nodules à caractère suspect, de goitre cervicothoracique pouvant évoluer vers une gêne respiratoire ou une hyperthyroïdie ou de certaines pathologies hormonales (hyperthyroïdie par maladie de Basedow) mal contrôlées par le traitement médical ou en cas d’effets secondaires à ce traitement.
L’objectif d’une intervention est le plus souvent l’analyse de nodules à risque de part leur aspect et/ou leur taille. Dans d’autres cas, c’est l’augmentation de la taille de la glande (goitre) et ses risques compressifs ou l’ablation d’un nodule ou d’une glande hyperactifs (hyperthyroïdie).
La thyroïdectomie peut-être totale ou ne concerner qu’un lobe (lobo-isthmectomie).
L’intervention est habituellement réalisée en ambulatoire (plus rarement avec une hospitalisation de 24 à 48 heures). L’intervention est réalisée sous anesthésie générale par une petite ouverture située à la base du cou. La thyroïdectomie bénéficie des avancées technologiques par le monitoring des nerfs récurrents. Ce monitoring est mis en place afin d’apprécier le bon fonctionnement des nerfs récurrents en peropératoire. Il fait partie intégrante de notre prise en charge chirurgicale, particulièrement en cas de volumineux goitre ou d’antécédents de chirurgie thyroïdienne.
La glande est systématiquement analysée pendant l’intervention. Les décisions chirurgicales sont prises en fonction des résultats. Un résultat définitif et formel est obtenu 8 jours plus tard. En cas de lésion maligne, un bilan complémentaire et un traitement médical postopératoires sont réalisés.
La surveillance postopératoire recherche un hématome du cou, très rare (le drainage est parement utilisé). La mobilité des cordes vocales est vérifiée en fibroscopie nasale, examen simple, au lit du patient. Si une corde vocale est immobile, ce qui survient rarement, une rééducation orthophonique est instaurée. En cas de thyroïdectomie totale, un dosage sanguin du calcium est organisé à la sortie à la recherche d'une chute de la calcémie. Elle est secondaire à la mise au repos de petites glandes collées à la thyroïde (parathyroïdes). Un traitement médicamenteux peut être mis en place, temporairement le plus souvent.
A la sortie, les soins se portent sur la cicatrice et sont réalisés par une infirmière à domicile. La fermeture de l’incision fait appel à des points sous cutanés totalement et spontanément résorbables.
Si la thyroïdectomie a été partielle, une surveillance échographique de la glande restante doit être réalisée.









